Sat, 07 Feb 2026

|

DHIVEHI

Advertisement

IGMH performs Maldives’ first endoscopic spine surgery

01 Oct 2025

|

Ainy Waheed

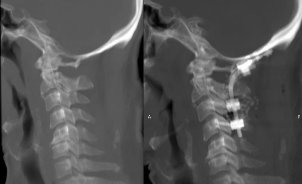
Occipito-cervical fusion surgery Xray --- Photo: IGMH

Indira Gandhi Memorial Hospital (IGMH) has successfully performed endoscopic spine surgery for the first time in the Maldives.

The procedure, carried out by IGMH’s Neurosurgery Department, was conducted to treat conditions such as spinal disc slippage, nerve compression, and other related problems. Unlike conventional open surgeries, the minimally invasive operation involves drilling a small hole in the body, through which a tube is inserted to guide a camera and surgical instruments.

Doctors note that endoscopic spine surgery offers significant benefits, including less post-operative pain, reduced scarring, and shorter recovery times compared to traditional spinal operations.

The department successfully carried out its first occipito-cervical fusion surgery, a highly complex operation performed to stabilise the junction between the skull and cervical spine. This procedure is often necessary in cases of severe instability caused by trauma, congenital anomalies, or degenerative disease.

Until now, such procedures were not available in the Maldives, requiring patients to travel abroad for treatment. However, under the Government’s ongoing efforts to expand healthcare services, IGMH has introduced a range of new specialised treatments.

The Administration has also stated that work is underway to increase the scope of services at IGMH while equipping regional hospitals to provide treatments previously unavailable in the country.

Comments